Anche quest'anno, Genova ospiterà i maggiori esperti nazionali e internazionali della Malattia di Gaucher, per fare il punto su diagnosi, terapia, esperienze e ricerca riguardo a questa patologia rara che in due terzi dei soggetti affetti vede l'esordio in età pediatrica. Anche se la diagnosi è spesso ritardata all'età adulta. E' a partire dalla prima edizione del 2005 che ogni anno, grazie al contributo non condizionato di Genzyme, gli esperti si riuniscono a Genova per confrontarsi e discutere sulle più recenti acquisizioni sulla Malattia di Gaucher. L'obiettivo raggiunto è stato la creazione di un gruppo di lavoro italiano che coinvolge non solo i clinici dei centri di riferimento per la malattia di Gaucher del nostro Paese, ma anche i medici ospedalieri che effettuano ogni quattordici giorni la terapia enzimatica sostitutiva. Un gruppo di lavoro coeso, che ha condiviso le conoscenze ed elaborato le esperienze cliniche in pubblicazioni di rilievo internazionale, creando cultura e profes sionalità per questa malattia rara. Un percorso che ha permesso di rendere omogeneo l'approccio clinico e terapeutico.
Nel 2014, per esempio, è stato presentato un algoritmo che individua la malattia già nei bambini. Creato da un gruppo di metabolisti ed ematologi, l'algoritmo è nato partendo da due premesse: la prima è che più del 30% di chi manifesta la malattia lo fa, appunto, in età pediatrica, pure se la diagnosi può arrivare con ritardo anche di otto o dieci anni. La seconda è che con la giusta terapia, se iniziata precocemente, si possono evitare danni permanenti e irreversibili agli organi. Durante il convegno, saranno presentati i primi risultati di uno studio italiano che, applicando appunto l'algoritmo, aiuta il pediatra a diagnosticare precocemente i bambini affetti dalla malattia.
Il XII incontro annuale sulla Malattia di Gaucher si svolgerà l'11 ottobre al Palazzo della Borsa a partire dalle 8.15. Sotto la guida della dottoressa Maja Di Rocco, responsabile dell'Unità operativa semplice dipartimentale di Malattie Rare dell'Ospedale Gaslini di Genova, che da dodici edizioni è responsabile scientifico dell'evento, affiancata da uno Scientific Steering Committee, l'appuntamento chiamerà a raccolta i medici che da anni si occupano della patologia. La giornata, che sarà aperta appunto dalla dottoressa Di Rocco con la presentazione degli obiettivi dell'incontro, vedrà tra i protagonisti il professor Timothy M. Cox, del Dipartimento di Medicina dell'Università di Cambridge, che terrà una lectio magistralis proprio sui benefici della terapia, dal titolo "Development of substrate reduction therapy in Gaucher disease" e parlerà di una nuova terapia orale per la Malattia di Gaucher, che potrebbe migliorare la qualità di vita delle persone affette per le quali ad oggi è disponibile solo l'infusi one endovenosa.
Durante i lavori, diversi altri specialisti ed esperti svilupperanno una serie di argomenti di discussione (in allegato, il programma) per poi arrivare alle conclusioni, in serata.
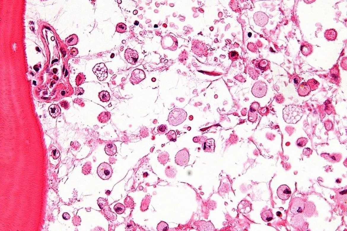
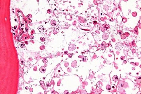
La Malattia di Gaucher è una condizione rara ed ereditaria con una frequenza intorno a 1 su 40.000 persone. A causa della carenza di un enzima, la beta-glucosidasi acida (glucocerebrosidasi), che ha il ruolo di scindere una molecola di natura lipidica, la malattia porta un accumulo di lipidi nelle cellule denominate appunto di Gaucher. Questo provoca l'ingrossamento della milza e del fegato con anemia, ematomi, sanguinamento eccessivo, ma anche osteoporosi o alterazioni ossee. La malattia di Gaucher fu descritta per la prima volta nel 1882, ma gli studi clinici sono partiti molti anni dopo. Basti pensare che solamente nel 1984, grazie alla madre di un bambino statunitense e a un gruppo di ricercatori, si iniziò la sperimentazione della terapia con l'enzima mancante.



